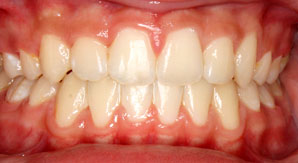
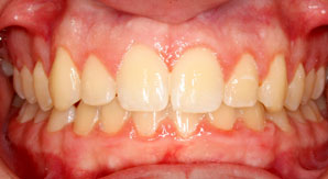
Incredible results and inspiring journeys; see some of our patients' before and after photos next time you visit our practice.


Treated with braces


Treated with braces


Treated with braces


Treated with braces


Treated with Invisalign®


Treated with braces


Treated with Invisalign®


Treated with braces